의료 AI 기업 루닛이 미국 암 정복 프로젝트에 참여하게 되면서 훨훨 날고 있습니다. 루닛은 상장 전부터 관심을 갖고 있었습니다. 최근 들어 챗GPT를 비롯한 인공지능 AI 분야가 각광을 받고 있는데, 실제로도 인공지능 AI 기술은 우리 생활에 점점 스며들고 있는 것 같습니다.
루닛은 인공지능 중에서도 의료분야의 인공지능을 기반으로 암진단을 하는 AI영상기술 분석 솔루션과 암치료를 위한 AI 바이오마커 플랫폼을 제공하는 기업으로 국내외 업계에서 기술력을 인정받는 의료 인공지능 AI 대장 기업이라고 할 수 있습니다. 최근까지는 기업 매출규모가 영세하고 적자구조이지만, 장기적으로는 가능성이 많은 기업이기에 루닛 기업 분석을 통해 가능성을 엿보고자 합니다.

루닛은 어떤 기업일까요?

루닛은 2013년 한국과학기술원(KAIST)에서 인공지능 기술을 연구하던 대학원생 6명이 모여 '클지(Cldi)' 창업을 시작으로 의료영상진단 설루션 개발에 주력했습니다. 후에 현재의 루닛(Lunit : Learning Unit)으로 사명을 변경했습니다. 루닛은 인공지능 알고리즘을 통한 데이터 기반의 이미징 바이오마커 기술을 환자 진단과 치료에 적용하는 것을 목표로 삼고 있습니다.
루닛은 2017년 CB인사이트에서 발표한 '세계 100대 AI기업' 에 한국기업으로는 유일하게 선정되었고, 2019년에는 세계에서 가장 유망한 'Digital Health 150'에도 선정되었습니다. 그리고 최근에는 미국 조바이든 대통령이 암 예방, 조기발견, 치료제 개발을 위해 추진 중인 '캔서문샷(Cancer Moonshot)'을 추진하기 위한 공공, 민간 협력체인 '캔서 X(CancerX)의 창립 멤버로 한국 유일한 기업으로 참여하게 되었습니다.
루닛은 각종 국제 AI 대회에서 구글, MS, IBM 등의 글로벌 기업과 하버드 의대팀을 제치고 최상위권에 올라 화제가 되기도 하였고, 검증된 증거기반 연구를 위해 세계적으로 권위있는 학술지에 지속적으로 논문을 발행하고 채택되고 있습니다. 또한, 루닛을 도입한 해외 의료기관수는 2000곳이 넘어 아그파헬스케어, GE헬스케어, 필립스, 후지필름 등 의료기기 시장에서 글로벌 파트너사와의 계약을 통해 루닛 AI 소프트웨어를 탑재한 장비들이 판매되고 있습니다.
루닛 코스닥 시장에서 외국인투자자 비중이 상위권에 속할 정도로 해외에서 관심이 많습니다. 지난 21일 외국인투자자가 보유한 루닛 지분 비율은 26.97%로 코스닥 상장 기업 중 45위를 차지했습니다.

루닛 주요 제품
(1) 루닛 스코프 (Lunit SCOPE)
루닛 스코프는 AI를 이용한 약물효과 예측 솔루션으로 면역 항암제 대상자를 추가로 찾아냄으로써 면역항암제 임상시험의 성공률을 높일 수 있습니다. 루닛스코프는 루닛스코프 IO와 루닛스코프 IHC 솔루션이 있습니다. 현재 루닛스코프 IHC 중에 PD-L1분석 설루션은 가던트 헬스를 통해 시판 중입니다.
루닛스코프는 전 세계 150여 명의 병리학 전문의가 입력한 100만 여개의 어노테이션을 학습한 결과, 정답에 가까운 분석이 가능합니다. 암은 조기진단과 함께 환자에게 맞는 치료법이 필수인데, 최근에는 어떤 항암제가 맞는지 암세포의 특정 단백질에서 바이오마커를 분류해 투약합니다. 임상 단계부터 개발 중인 항암제는 맞춤 바이오마커와 쌍을 이루어 임상환자를 선택하고 개발 성공률을 높이고 치료 가능성도 높입니다. 루닛 스코프 PD-L1을 활용해 면역항암제 치료 효과를 더 빠르고 정확하게 예측합니다.
자체 임상 테스트에서는 가던트 360 티슈넥스트의 대상 환자 검출률이 20% 향상된 것으로 나타나고 암학회에서 해마다 논문을 발표해 루닛 스코프 관련 연구성과를 인정받고 있습니다. 최근에는 국소진행성 직장암(LARC) 환자의 치료 효과를 예측하는 연구결과를 미국임상종양학회(ASCO 2023에서 발표하여 루닛스코프를 이용한 종양 미세환경 분석이 직장암 환자의 치료 후 예후 예측에 의미 있는 가능성을 보여주었습니다. 루닛 스코프는 향후 신약 개발의 게임체인저가 될 수 있을 것으로 기대하고 있습니다.
2023.06.21 - [톡톡 주식정보/의료AI산업] - [리포트] 루닛 - 블록버스터의 파트너 (유안타)
[리포트] 루닛 - 블록버스터의 파트너 (유안타)
루닛은 상장 전부터 관심을 가져두던 기업인데 39,000원일 때 보초병으로 3주만 사두고 이후 잠시 한눈을 판 후엔 계속 고공행진이라 진입을 못하고 있습니다. 안타깝지만, 그래도 공부는 놓치지
talk.toktoklife.com

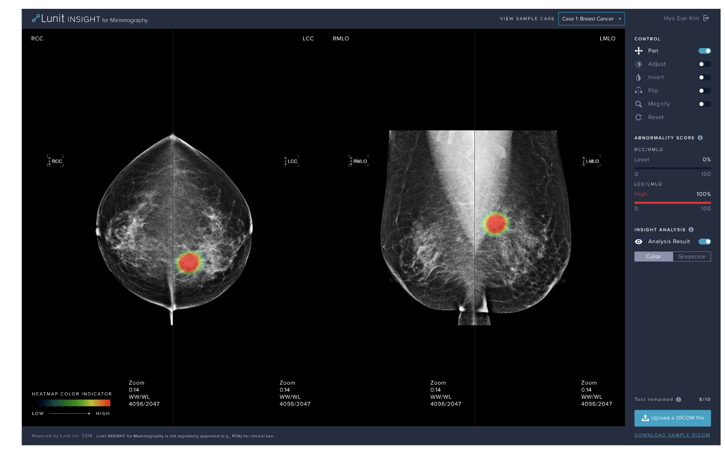
(2) 루닛 인사이트 (Lunit INSIGNT)
루닛 인사이트는 AI 영상분석 솔루션으로 루닛 인사이트 CXR과 루닛 인사이트 MMG, 루닛 인사이트 DBT가 있습니다.
루닛 인사이트 CXR은 폐 x-ray 솔루션으로 루닛의 독자적인 인공지능 기술을 바탕으로 폐경화, 기흉, 폐결절 등 10가지 흉부 질환을 진단하는 제품으로 엑스레이 상의 의심 부위의 판독(97~99%)과 진단을 보조할 목적으로 설계되었습니다. 루닛 인사이트 CXR은 폐암 조기 진단율을 50% 향상할 수 있고, 이를 여러 논문을 통해서 정확도와 효율성을 검증했습니다.

루닛 인사이트 MMG는 유방촬영술 내 유방암을 97% 정확도로 검출해 진단을 보조하는 제품입니다. 가장 최근 파트너십을 체결한 홀로직사가 50% 이상의 유방촬영장비 시장 점유를 하고 있어서 23년 하반기부터는 본격적인 매출이 발생할 것으로 예상합니다. 특히 호주 유방암 검진 운영권 획득을 시작으로 글로벌 시장에서 유방암 검진을 넓혀갈 것으로 예상합니다. 더불어 영상의학 전문의 2인이 이중 판독을 권고한느 유럽 가이드라인도 AI 보조 판독에 대한 사용이 증가하면서 수혜가 예상됩니다.

루닛 인사이트 DBT는 AI를 활용한 유방암 3차원 유방단층촬영술 영상분석 솔루션으로 기존 2차원 유방 촬영술이 유방암 진단을 위한 1차적 검사라면, DBT는 검출된 결절에 대한 정교한 검사가 가능해 의료기관에서 활용도가 높아지고 있습니다. 특히 한국 및 동양 여성에게 나타난 치밀 유방의 경우 기존 유방촬영술이나 초음파 검사를 통해서는 식별이 어렵지만, 루닛 인사이트 DBT의 경우 정밀진단에서 최적화된 제품입니다. 올해 식약처 수출 허가 승인으로 미국, 유럽 등의 빅마켓에 대한 루닛 인사이트 DBT 판매가 가능해지고, 미국 FDA와 유럽 CE 인허가 요구 사항을 충족해 제품 출시가 가능하도록 모든 역량을 집중할 계획이라고 합니다.
루닛 매출 현황
루닛은 국내를 포함 세계 주요 거점에 판매, 연구 개발 네트워크를 구축해 전세계를 대상으로 사업을 영위하고 있습니다. 2022년 1분기 기준 국내 13%, 해외 87%의 매출을 달성하고 있고, 내수보다는 수출에서 대부분의 매출을 이루고 있습니다.

루닛은 2019년 2억원의 매출을 시작으로 2020년 14억 원, 2021년 66억 원으로 빠른 성장을 해오긴 했지만, 연구, 개발비용과 판매 관리비가 급증하면서 현재까지는 자본잠식상태입니다. 하지만, 2023년부터 본격적인 판매가 이뤄지며 신규 매출이 발생해 2023년 1분기 매출액이 109억 7100만 원을 기록해 전년동기 대비 268.6% 증기 했으며, 영업 손실도 1분기 23억 원 수준으로 지난해 보다 82% 감소했고, 영업비용도 지난해 대비 20% 감소했습니다. 흑자 전환은 2024년부터 가능할 것으로 예상합니다.
루닛 향후 성장성
루닛은 소프트웨어라는 제품 특성상 별도의 원재료가 없고, AI의료 솔루션을 하드웨어에 탑재해 납품하는 경우 하드웨어나 클라우드 비용이 원가에 포함되는 방식으로 국내 제약바이오 업계의 55%라는 매출원가율에 비해 10%로 매출원가율이 매우 낮고, 유지 보수 비용도 수익으로 잡혀 수익성이 매우 높습니다. 의료 AI 시장이 급성장하는 이유도 수익성이 높고 수요가 많기 때문이라고 합니다.
국내 헬스케어 기업 최초로 기술성평가 AA-AA등급을 획득했고, GE헬스케어, 후지필름 등의 글로벌 의료기기 기업은 물론 글로벌 액체생검 1위 기업 가던트 헬스로부터 러브콜을 받았고, 최근에는 각국의 인허가와 함께 공급계약을 체결하며 글로벌 성과를 내고 있습니다. 이처럼 루닛은 글로벌 의료기기 제조사 등과의 협업과 기업과 정부 간의 거래, 시장 공략 등을 통해 이제 막 시작하는 의료 AI 표준을 선도하고 있다는 평가입니다.
'톡톡 주식 분야별 정보 > 바이오,헬스,의료AI산업' 카테고리의 다른 글
| 루닛, 코스피 ・ 코스닥 상승률 1위 (0) | 2023.06.27 |
|---|---|
| [기사] 루닛 인사이트 CXR 일본에서 건강보험 급여 적용 (0) | 2023.06.26 |
| [기사] 루닛 - 미 '캔서문샷' 전격 참여 (0) | 2023.06.21 |
| 전문의가 말하는 루닛스코프 (0) | 2023.06.21 |
| [리포트] 루닛 - 블록버스터의 파트너 (유안타) (0) | 2023.06.21 |

